0
Skip to Content
About
Portfolio
CV
Diego Sabal
Open Menu
Close Menu
Open Menu
Close Menu
About
Portfolio
CV
Diego Sabal
About
Portfolio
CV
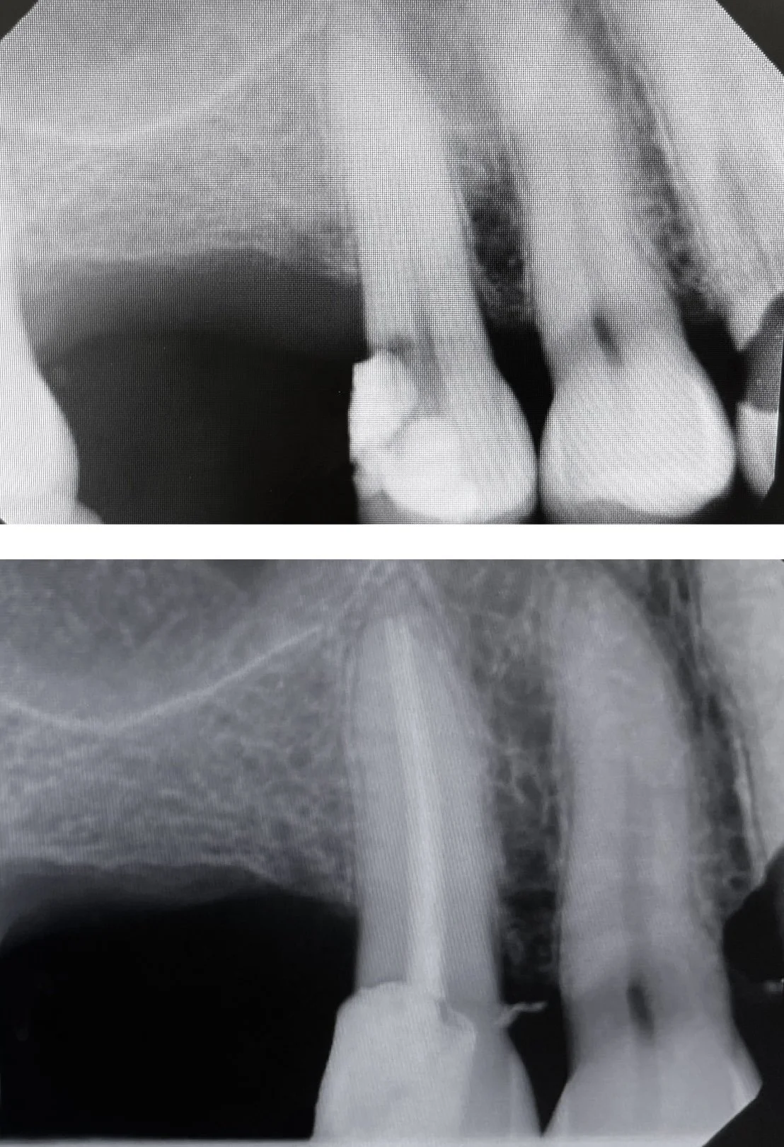
Vitality
Previous
Previous
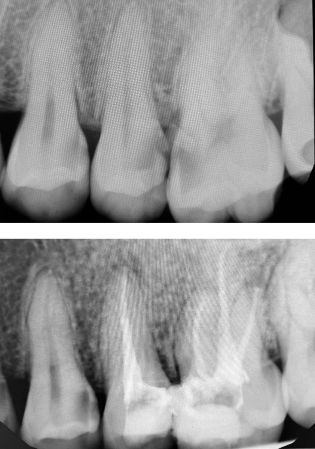
Implant Restorations
Next
Next
Diagnostic Wax Ups